症例集
あなたの歯並びはどれ?
前歯がガタガタ
成長期の患者さん
まず顎の成長が残っている成長期の段階(1期治療)で、顎や歯列の横幅を拡げたり、歯を後ろへ送ることで歯が並ぶ場所をつくり、なるべく歯を抜かずに配列できる環境を整えます。また、顎の横幅を拡大することで鼻腔が拡がり、口腔内容積も増えるので、呼吸しやすい環境を整えることができます。
12歳臼歯の生える頃を目安に、マルチブラケット装置を装着して、細かく咬み合わせを整えていく2期治療のご提案をします。

クワドヘリックス
(固定式拡大装置)

プレートタイプ拡大装置
(取り外し式拡大装置)
歯列の横幅を拡げると同時に、成長期の患者さんでは歯を並べる土台となる歯槽骨の横幅も拡げます。
症例:上顎と下顎を拡げて治療した症例
治療前

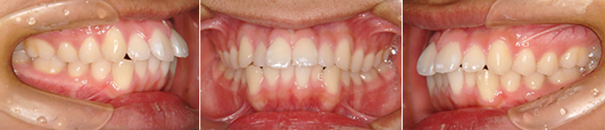
症状:前歯部叢生(前歯のガタガタ)
初診時年齢:7歳8ヶ月
治療期間:1期治療で拡大装置を2年3か月使用。2期治療でマルチブラケット装置を2年1か月使用。
治療費:1期治療費 30万円+毎回の調節料(税別)/2期治療費 35万円(セラミックブラケット)+毎回の調節料(税別)
副作用とリスク:歯を移動すると幾分か歯根が吸収されて短くなることがあります。特に生活に支障がない場合が殆どです。
1期治療(成長期)

歯列の横幅を拡げると同時に、成長期の患者さんでは歯を並べる土台となる歯槽骨の横幅も拡げます。

2期治療

マルチブラケット装置を個々の歯に装着して、ワイヤーを通すことで、緊密に上下の歯を咬み合わせていきます。
治療終了

正しい咬み合わせが獲得できました。
成人の患者さん
マルチブラケット装置を用いて歯を配列し、正しい咬み合わせを整えていきます。
症例:上下の前歯にガタガタのある症例(女性 14歳11ヶ月)

症状:前歯部の叢生(前歯のガタガタ)、八重歯
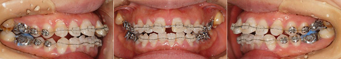
治療期間:マルチブラケット装置を2年6ヶ月使用
治療費:契約料60万円(セラミックブラケット)+毎回の調節料(税別)
副作用とリスク:
- 歯を移動すると幾分か歯根が吸収されて短くなることがあります。
- 特に生活に支障がない場合が殆どです。歯肉退縮が生じることもあります。
- 歯根吸収および歯肉退縮は共に初診時で認めると進行するリスクが高まる傾向です。
- また前歯のガタガタが著しい方の場合、歯を配列した後に歯間部の骨量が足りず空隙が生じる場合があります。成人の方の方が生じやすいです。

上下の前歯のガタガタに加えて、咬み合わせが深い状態です。上下のガタガタの量が著しく多いため、上下顎両側の第一小臼歯の抜歯を行った上で歯を配列しています。
その後、マルチブラケット装置を装着し歯を配列すると…
治療後 17歳5ヶ月

上下の前歯のガタガタと深い咬み合わせが改善され良好な咬み合わせが得られました。スマイルも美しくなりました。
出っ歯が気になっている
成長期の患者さん
当院で頻繁に用いる装置【バイオネーター】


上顎の成長を抑え、下顎の成長を促すことで出っ歯の改善を図ります。
当院で頻繁に用いる装置【ヘッドギア】

奥歯を後方へ押し、上顎の成長を抑制します。家の中で使用します。
当院で頻繁に用いる装置【GMD】

GMD装置にてバネの力で奥歯を後方へ送り、歯が並ぶ場所を増やします。奥歯が後方へ移動した分出っ歯とガタガタが改善されます。
症例:成長期から治療を行った出っ歯の症例(女性 8歳10ヶ月)
治療前

症状:上顎前突、下顎前歯部叢生(ガタガタ)、下顎右側中切歯および側切歯の癒合歯
初診時年齢:8歳10ヶ月
治療期間:1期治療にてバイオネーターを2年10ヶ月使用。2期治療でマルチブラケット装置を1年3ヶ月使用。
治療費:1期治療費 30万円+毎回の調節料(税別)/2期治療費 35万円(セラミックブラケット)+毎回の調節料(税別)
副作用とリスク:歯を移動すると幾分か歯根が吸収されて短くなることがあります。特に生活に支障がない場合が殆どです。
下顎の成長が不足しているため、前歯に出っ歯が認められ、前歯で咬めない状態です。

成長期の間はバイオネータ―を用いて下顎の成長を促します。

バイオネーターを2年10か月使用したところ出っ歯が改善し、上下顎歯列のガタガタが減少しました。

その後、12歳臼歯が萌出した後にマルチブラケット装置を装着すると…
治療後

出っ歯がが解消しました。下顎の成長を促すと、咬み合わせが改善するだけではなく、顔貌が改善し、気道が拡張されるので呼吸もしやすくなります。左下前歯の癒合歯も良好に配列しました。
成人の患者さん
マルチブラケット装置を用いて歯を整列します。
症例:出っ歯の症例(男性 14歳4ヶ月)

症状:上顎前突、叢生(ガタガタ)
初診時年齢:14歳4ヶ月
治療期間:マルチブラケット装置を1年9ヶ月使用
治療費:契約料60万円(セラミックブラケット)+毎回の調節料(税別)
副作用とリスク:歯を移動すると幾分か歯根が吸収されて短くなることがあります。特に生活に支障がない場合が殆どです。

前歯が突出しており、ガタガタを認める状態です。以下の4つの理由のため上下の小臼歯を抜歯をすることとなりました。
- 歯が並ぶスペースがなく、この状態で歯を抜かないで並べると更に前歯で咬めない状態になるため
- 顔貌の改善のため
- 閉じづらい唇を閉じやすくするため
- スペースがないのに無理に歯を並べても後戻りする可能性が高いため
その後、マルチブラケット装置を装着し歯を配列すると…
治療後

出っ歯とガタガタとが改善され良好な咬み合わせが得られました。口を閉じやすくなり、美しいスマイルになりました。
口元の突出感が気になる
顎の成長が終わった頃から始める患者さん
マルチブラケット装置を用いて歯を整列します。
症例:出っ歯かつ口元の突出感を認める症例(女性 12歳9ヶ月)

症状:上下顎前突、叢生(ガタガタ)
初診時年齢:12歳9ヶ月
治療期間:マルチブラケット装置を2年6ヶ月使用
治療費:契約料60万円(セラミックブラケット)+毎回の調節料(税別)
副作用とリスク:歯を移動すると幾分か歯根が吸収されて短くなることがあります。特に生活に支障がない場合が殆どです。

上下の前歯が突出しており、ガタガタを認める状態です。以下の4つの理由のため上下の小臼歯を抜歯をすることとなりました。
- 歯が並ぶスペースがなく、この状態で歯を抜かないで並べると更に前歯で咬めない状態になるため
- 希望されていた口元の突出感の改善のため
- 閉じづらい唇を閉じやすくするため
- スペースがないのに無理に歯を並べても後戻りする可能性が高いため
その後、マルチブラケット装置を装着し、歯を配列すると…
治療後

突出していた口元が改善され患者さんはとても満足されていました。前歯の突出とガタガタが改善され良好な咬み合わせが得られました。また唇を閉じやすくなり、美しいスマイルになりました。
受け口で悩んでいる
成長期の患者さん
当院で頻繁に用いる装置【上顎前方牽引装置】


口腔内にセットしたフックからマスクに向けてゴム輪をかけることで、上顎全体をゴムの力で前方に牽引し、上顎の成長を促進します。家の中で使用します。
当院で頻繁に用いる装置【チンキャップ】

ゴム輪の力で下顎の成長を抑制します。家の中で使用します。
症例:上顎の前方への成長が不足し、受け口になっている症例(女性 10歳5ヶ月)
治療前

受け口の小児期の患者さんです。下顎の前方への成長が著しい顔貌になっています。
症状:
初診時年齢:10歳5ヶ月
治療期間:1期治療で上顎前方牽引装置を1年4ヶ月使用。その後チンキャップを1年9ヶ月使用。2期治療でマルチブラケット装置を2年3ヶ月使用。
治療費:1期治療費 30万円+毎回の調節料(税別)/2期治療費 35万円(セラミックブラケット)+毎回の調節料(税別)
副作用とリスク:歯を移動すると幾分か歯根が吸収されて短くなることがあります。特に生活に支障がない場合が殆どです。
1期治療(成長期)

上顎前方牽引装置を用いて上顎の成長を促します。家の中で使用します。使用期間の目安は、その後の下顎が成長しても再び受け口にならないような出っ歯の状態になるまでです。
上顎の牽引修了

上顎の前方への成長が促進され、受け口が改善しました。
2期治療(下顎の成長の止まった14歳頃)

マルチブラケット装置を個々の歯に装着して、ワイヤーを通すことで、緊密に上下の歯を咬み合わせていきます。(歯と同じ色をした目立たない装置も選択できます)
治療終了

正常な咬合が獲得できました。成長期に上顎を前方に牽引していなければ、初診時よりも受け口の量が増加し、下顎のみ突出している顔貌となっていたと思われます。
成人の患者さん
症例:受け口の症例(男性 18歳8ヶ月)
治療前

症状:骨格性下顎前突、反対咬合
初診時年齢:18歳8ヶ月
治療期間:マルチブラケット装置を1年2ヶ月使用
治療費:契約料60万円(セラミックブラケット)+毎回の調節料(税別)
副作用とリスク:歯を移動すると幾分か歯根が吸収されて短くなることがあります。特に生活に支障がない場合が殆どです。

マルチブラケット装置を装着し、歯を配列すると…
治療後

受け口が改善され、良好な咬み合わせが得られました。また、顎の動きの制限がなくなり本来の自由な動きを獲得できました。
症例:外科的矯正治療を行った受け口の症例(女性 30歳)
症状:骨格性反対咬合
初診時年齢:30歳1ヶ月
治療期間:マルチブラケット装置を2年8ヶ月使用
治療費:矯正治療費は(健康保険3割負担で)207,123円、他に連携医療施設で外科手術の費用が掛かります。
副作用とリスク:手術後に(下顎の)オトガイ部周辺に神経麻痺を生じる可能性が幾分かありますが、外科手術を行った施設で適切な治療を行って頂きます。歯を移動すると幾分か歯根が吸収されて短くなることがあります。特に生活に支障がない場合が殆どです。

マルチブラケット装置装着 1年8ヶ月後

マルチブラケット装置を装着して、手術後に上下顎が良好に咬合するように排列
外科手術(連携医療機関で下顎枝矢状分割術(下顎の後方移動)を施行)
外科手術1年後

良好な咬合が得られ、マルチブラケット装置を撤去。下顎を後退させることで顔貌も改善されました。
前歯で咬めない
成長期の患者さん

【タングクリブ】舌を上下の前歯の間に入れる習癖を解消するために
舌が上下の前歯の間に入ることを抑制し、自然に上下の前歯が咬み合うように誘導します。先端は丸めてあるので特に舌を傷つけることはありません。

【チンキャップ】下顎の垂直的な成長を抑制するために
ゴム輪の力で下顎の成長を抑制します。家の中で使用します。
症例:小児期から治療を行った開咬の症例(8歳男性)
症状:前歯部開咬
初診時年齢:8歳11ヶ月
治療期間:1期治療でタングクリブを7ヶ月使用。2期治療でマルチブラケット装置を1年6ヶ月使用。
治療費:1期治療費 30万円+毎回の調節料(税別)/2期治療費 35万円(セラミックブラケット)+毎回の調節料(税別)
副作用とリスク:歯を移動すると幾分か歯根が吸収されて短くなることがあります。特に生活に支障がない場合が殆どです。前歯で咬めない開咬症例は一旦前歯で咬めるようになっても再び開咬に後戻りしやすいことが特徴です。そこで、マルチブラケット装置での配列の仕方にテクニックが必要ですし、配列した後も再び開咬になりづらいように設計した保定装置の使用が重要になることが多いです。

開咬状態になっています。

舌側にタングクリブを装着

下方から見た上顎舌側のタングクリブ装置。上顎の内側に装着する柵のような装置です。舌が上下の歯列間に入らないようにすることで上下顎間の空隙の減少を図ります。

7ヶ月後、開咬は改善しました。

2期治療でマルチブラケット装置を用いて個々の永久歯を配列。上下顎間の空隙、および歯間部のスペースを閉じます。舌を突出する癖が残存しているため、MFT(舌の動きの訓練)を行います。

良好な咬合になりました。
成人の患者さん
症例:前歯で咬めない症例(女性 27歳3ヶ月)
症状:前歯部開咬
初診時年齢:27歳3ヶ月
治療期間:マルチブラケット装置を1年10ヶ月使用(歯科矯正用アンカースクリューを併用)
治療費:契約料60万円(セラミックブラケット)+毎回の調節料(税別)+歯科矯正用アンカースクリュー3万円(税別)
副作用とリスク:歯を移動すると幾分か歯根が吸収されて短くなることがあります特に生活に支障がない場合が殆どです。前歯で咬めない開咬症例は一旦前歯で咬めるようになっても再び開咬に後戻りし易いことが特徴です。そこで、マルチブラケット装置での配列の仕方にもテクニックが必要ですし、配列した後も再び開咬となりづらいように設計した保定装置の使用が重要となることが多いです。
治療前


前歯で咬めず、出っ歯とガタガタも伴う状態です。
その後、マルチブラケット装置を装着し歯を配列すると…
治療後

開咬、前歯の突出、ガタガタが改善しました。

保定装置を使用して2年経過した時点ですが、開咬に後戻りしておらず良好な咬合を維持しています。
顎の垂直的な開きが大きい場合は、手術を伴う治療(保険対応)をご提案する場合があります。
すきっ歯で悩んでいる
症状:空隙歯列、両側第二大臼歯の鋏状咬合
初診時年齢:30歳0ヶ月
治療期間:マルチブラケット装置を1年5ヶ月使用
治療費:契約料60万円(セラミックブラケット)+毎回の調節料(税別)
副作用とリスク:歯を移動すると幾分か歯根が吸収して短くなることがあります。特に生活に支障がない場合が殆どです。また、すきっ歯の症例は治療後に再び隙間が開きやすく後戻りしやすいです。そこでなるべく後戻りのリスクを減らすように設計した保定装置を使用することがあります。

上顎正中部にスペースがあり、上顎両側7番が頬側から萌出して鋏状咬合になっています。

マルチブラケット装置を装着し、歯を配列すると…

良好な咬み合わせになりました。

2年後も咬み合わせは安定していました。すきっ歯の方は2年経過後もまだ隙間が開きやすいです。長期間の保定が重要です。
すきっ歯の原因を除去した後に、マルチブラケット装置で歯を配列し、すき間を閉じます。
歯が生えてこない
症例:前歯が生えてこない症例(女性 9歳)
治療前
症状:上顎左側中切歯埋伏症例
初診時年齢:9歳11ヶ月
治療期間:口腔外科で開窓後リンガルアーチで6ヶ月牽引します。その後、マルチブラケット装置(上顎前歯部と両側第一大臼歯のみ)に変更し7ヶ月牽引します。
治療費:1期治療費 30万円+毎回の調節料(税別)
副作用とリスク:生えてこない歯(埋伏歯)を牽引する場合、埋伏歯に装置を装着するために歯肉を切開することがあります。その歯を配列した際に歯肉退縮をする場合があります。
※ガタガタの量や前歯の突出量が多い場合など、1期治療後に2期治療が必要となることがあります。
2期治療では個々の永久歯をマルチブラケット装置で排列します。その際、2期治療費 30万円+毎回の調節料(税別)がかかる可能性があります。
症例:前歯が自然と生えてこない症例(女性 9歳)

治療前
レントゲンでは上顎左側中切歯が埋伏しています。自然に萌出することができず、位置変化が認められません。

口腔内写真では一見左上の前歯が存在するように見られますが、上顎左側中切歯(前から1番目の歯)は歯のないスペースを埋めるためにセットされていた人工歯です。

牽引開始
まず口腔外科で開窓し、埋伏していた歯にリンガルボタンという器具を装着します。その後、上顎舌側(内側)にリンガルアーチをセットして、そこからアームを伸ばし、アームとリンガルボタンをゴムで結び6ヶ月間下方に牽引しました。人工歯は撤去しました。

牽引6ヶ月後、装置をブラケットへ変更
ブラケットを部分的(上顎前歯部と両側第一大臼歯)に装着し、そこから埋伏していた歯を7ヶ月牽引しました。

牽引後
良好に配列できました。装着していた人工歯は一時的なものでいずれ脱落し、装着しても咬合力は得られません。埋伏歯を開窓・牽引することでしっかり前歯で咬合できる状態にしました。
矯正歯科治療に伴う一般的なリスクや副作用について
- 最初は矯正装置による不快感、痛み等があります。数日間~1、2週間で慣れることが多いです。
- 歯の動き方には個人差があります。そのため、予想された治療期間が延長する可能性があります。
- 装置の使用状況、顎間ゴムの使用状況、定期的な通院等、矯正治療には患者さんの協力が非常に重要であり、それらが治療結果や治療期間に影響します。
- 治療中は、装置が付いているため歯が磨きにくくなります。虫歯や歯周病のリスクが高まりますので、丁寧に磨いたり、定期的なメンテナンスを受けることが重要です。
また、歯が動くと隠れていた虫歯が見えるようになることもあります。 - 歯を動かすことにより歯根が吸収して短くなることがあります。また、歯ぐきが痩せて下がることがあります。
- ごくまれに歯が骨と癒着していて歯が動かないことがあります。
- ごくまれに歯を動かすことで神経が障害を受けて壊死することがあります。
- 治療途中に金属等のアレルギー症状が出ることがあります。
- 治療中に「顎関節で音が鳴る、顎が痛い、口が開けにくい」などの顎関節症状が出ることがあります。
- 様々な問題により、当初予定した治療計画を変更する可能性があります。
- 歯の形を修正したり、咬み合わせの微調整を行う可能性があります。
- 矯正装置を誤飲する可能性があります。
- 装置を外す時に、エナメル質に微小な亀裂が入る可能性や、かぶせ物(補綴物)の一部が破損する可能性があります。
- 装置が外れた後、保定装置を指示通り使用しないと後戻りが生じる可能性が高くなります。
- 装置が外れた後、現在の咬み合わせに合った状態のかぶせ物(補綴物)や虫歯の治療(修復物)などをやり直す可能性があります。
- 顎の成長発育により咬み合わせや歯並びが変化する可能性があります。
- 治療後に親知らずが生えて、凸凹が生じる可能性があります。
加齢や歯周病等により歯を支えている骨が痩せると咬み合わせや歯並びが変化することがあります。 その場合、再治療等が必要になることがあります。
- 矯正歯科治療は、一度始めると元の状態に戻すことは難しくなります。